Yeni Bilgisayarlı Tomografi Cihazı Hizmete Açılmıştır

Yeni Bilgisayarlı Tomografi Cihazı kurulum ve test çalışmaları başarılı şekilde tamamlandı. Hastanemizin radyoloji cihaz parkuruna katmış olduğumuz yeni nesil 128 detektör 443 kesitli Bilgisayarlı Tomografi Sistemi, bölgemizde sadece hastanemizde bulunmaktadır. Cihazın benzerlerinden ayrılan en önemli diğer özellikleri ise;
Eskiden çok daha yüksek radyasyon verilerek yapılabilen işlemleri düşük dozda radyasyonla yapabilmektedir. Yüksek kalp hızında koroner BT anjiyografi işlemlerini gerçekleştirebilecek düzeyde ileri bir sistem olup koroner darlık, koroner arter anomalisi, koroner arter fistülü, koroner stent ve by-pass greft incelemelerinin güvenilir şekilde yapılabilmesini sağlamaktadır. Çok daha zahmetli olan DSA Anjiografi seviyesinde başarılı görüntüleme sağlanmaktadır. İş istasyonundaki kardiyak modül hasta hareket artefaktlarını azaltarak koroner arterlerin ve kalbin daha hızlı ve etkin değerlendirilmesine olanak sağlamaktadır.
|
|
|
| Koroner BT anjiyografi | Otomatik Lezyon Saptama |
Otomatik lezyon saptama özelliği sayesinde akciğer nodülllerini ve kolon poliplerini istendiğinde otomatik olarak bularak hekimlere raporlamalarında destek olmaktadır.
Hassas organlara özel doz azaltıcı uygulamaları ve pediatrik çekim protokolleri sayesinde, çocuk hastalarda, kronik hastalıklarda ve kanser hastalarında düşük dozlarda Bilgisayarlı Tomografi çekimine imkan sağlamaktadır. Bu sayede radyasyonun zararlı etkilerine özellikle çocuklar olmak üzere tüm hastalarımız asgari düzeyde maruz kalmaktadır.
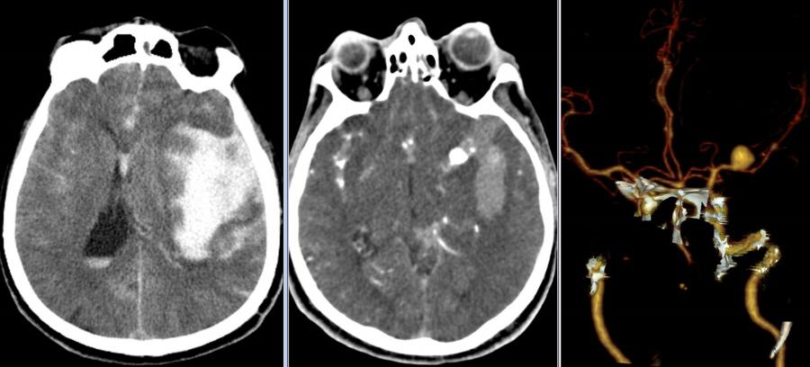
İleri nörolojik görüntüleme özelliği sayesinde beyin içindeki damarlarda oluşan anevrizmaların (baloncukların) erken tanınmasında, yırtılıp kanamadan tedavi edilmesinde önemli katkı sağlamaktadır. Aşağıdaki görselde baloncuk yırtılması (Anevrizma Rüptürü) ve yaygın kanama gözlemlenebilmektedir.
![]() |
| Anevrizma Rüptürü ve Yaygın Kanama |
Bilgisayarlı Tomografi Perfüzyon tekniği ile “İnme”li hastalarda kanlanması bozulmuş beyin bölgesini erken tanıyarak bu bölgenin hasar görmeden tedavisinin yapılmasında oldukça etkilidir. İnme durumlarında ilk dört saat hayati önemi haizdir. Bu evrede ilaç tedavisine cevap verecek doku olup olmadığının tespiti yeni cihazımızla mümkün olmaktadır. Aşağıdaki görselde Bilgisayarlı Tomografi Perfüzyon Görüntüleme ile inme erken tanı ve tedavi planlaması yapılabilmektedir.
![]() |
| Bilgisayarlı Tomografi Perfüzyon Görüntüleme |
26 Ekim 2020